文献速递 | IF 12.4顶刊解码乳液稳定性:万生昊天预制胶助力研究团队深度解析二酰甘油的底层作用逻辑!-技术前沿-资讯-生物在线

文献速递 | IF 12.4顶刊解码乳液稳定性:万生昊天预制胶助力研究团队深度解析二酰甘油的底层作用逻辑!

作者:上海万生昊天生物技术有限公司 2025-12-30T00:00 (访问量:6809)

公众号头图 gif.gif

你是否遇到过搅打奶油、充气乳液等部分结晶乳液在室温下储存不久就出现分层、析水的困扰?一项发表于食品领域顶级期刊《Food Hydrocolloids》的新研究,从分子层面揭示了解决这一难题的关键钥匙——二酰甘油。

  

01
研究背景

相比于冷藏型充气乳液,常温型充气乳液无需冷链储运,使用更为便捷。然而,较高的储存温度与环境变化会加剧脂肪球的布朗运动与碰撞频率,导致乳液容易出现析水、结块、失稳等问题。研究表明,使用二酰甘油(DAG)作为基础油可显著提升乳液的长期稳定性,但其背后的作用机制尚不明确。

 

02
机制揭秘

文献.png

近期,暨南大学油料生物炼制与营养创新团队在《Food Hydrocolloids》(IF:12.4)上发表了题为“Elucidating interaction mechanisms of protein and diacylglycerol at the interface on the static storage stability of partially crystalline emulsions through a multiscale approach”的研究论文。

 

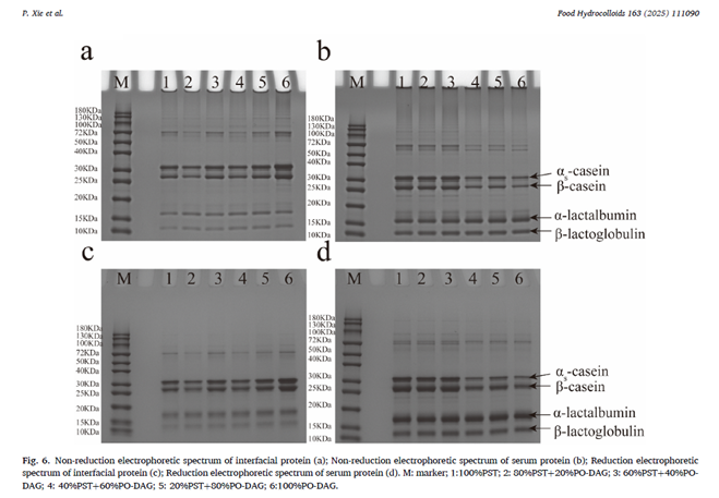
该研究通过从宏观到分子水平的多尺度分析方法,系统阐释了蛋白质与DAG在界面上的相互作用机制。研究发现,PO-DAG作为基础油可通过氢键作用特异性吸附酪蛋白,从而增加脂肪球界面膜的厚度。分子层面数据进一步表明,DAG与酪蛋白之间的相互作用能垒较低,使得PO-DAG含量较高的界面处酪蛋白浓度显著上升。结合界面流变学与Q-CMD分析,研究者还揭示了DAG与蛋白质在界面上的微观交互行为:适量DAG可改善界面膜性质,而过量则可能与蛋白质竞争占据界面,其活性羟基还会降低界面膜的粘弹性——这一发现为精准调控乳液在搅打过程中的部分聚结行为提供了理论依据。

数据.png

 

03
研究工具支持

在这项多层次、高精度的界面机制研究中,蛋白质组分的准确分析与验证至关重要。为此,研究团队选用上海万生昊天生物技术有限公司提供的 GlassPAGE™ Hepes-Tris 预制胶(GSH2001-15T),进行相关蛋白质电泳实验,确保了蛋白样品分离的高分辨率和结果可靠性,为后续分子互作机制的阐释提供了扎实的实验基础。

引用.png

产品.png

 

04
万生昊天预制胶相关产品

产品信息.jpg

 

05
限时福利

🌈如需上述文献原文,可留言“文献索取”并添加客服微信获取。

🎉转发本文至朋友圈,集齐18个赞,截图发送至公众号后台。按发送时间排序,前10名可免费获得万生昊天GlassPAGE™预制胶试用装(GSH2001-10T)一份!

推荐阅读

▶  岁末研华,礼惠攻坚 | 万生昊天年终大促,助力科研高效收官!

▶  科研必备 | 多肽不是“小蛋白”!一文搞懂科研多肽:定义、制备、应用与热门产品清单

▶  实验指南 | 掌握蛋白Marker选用技巧,提升电泳与转膜效率!

▶  实验指南 | 蛋白样品制备1——细胞裂解完全指南

▶  实验指南 | 蛋白/核酸电泳别踩坑!这些实操技巧让你条条清晰,结果稳定重复!

▶  实验指南 | 十大WB条带异常汇总!1分钟弄懂蛋白条带为什么奇形怪状

▶  实验指南 | 守护你的条带:预制凝胶储存,切记“冷藏”勿“冷冻”!

▶  双11科研钜“惠”季 | 品质不打折,费用降一半!老板直夸会过日子

▶  万生昊天 | 致敬诺奖:探索Treg细胞之谜,蛋白预制胶助力科研突破!

▶  重要通知 | Tricine-PAGE 系列产品升级来袭,实验效率直接拉满!

▶  新品速递 | 颠覆传统!免封闭通用型抗体稀释液:WB实验省1小时,抗体省50%!

▶  新品速递 | IP/Co-IP试剂盒+免疫磁珠,提速40%的蛋白互作黄金搭档!

▶  重要通知 | 万生昊天蛋白预制胶产品名称变更公告

▶  电泳视界 | 蛋白预制胶:玻璃面板 VS 塑料面板,选谁更明智?

▶  电泳视界 | Tris-Glycine vs Bis-Tris预制胶终极指南:国产技术突破与高分辨率实验方案全解析

▶ 告客户书Vol.2 | 特殊预制胶替代方案深度解析——精准实验不“断粮” !

▶  印迹解码 | 大分子蛋白转膜总失败?甲醇浓度这个「隐形开关」你调对了吗?

▶  官宣 | 液体产品包装焕新升级,每一处改变都为您而来

▶  关税压力下的科研平替方案 | 万生昊天电泳全系平替宝藏产品来了~

▶  印迹解码 | WB 实验总翻车?这份内参抗体速配指南帮你避开 99% 的坑(附福利)

▶  告别模糊条带!万生昊天Tris-Glycine预制胶,30分钟交出完美数据!

▶  电泳视界 | Western blot条带又拖尾?5大元凶对照表,从点样到染色一网打尽!

▶  新品速递 | Western实验全明星登场!告别信号模糊 & 背景干扰,解锁高效科研新体验!

END

关于万生昊天

上海万生昊天生物技术有限公司(简称本公司)为一家广受认同的生物科技公司,专业提供各类分子生物学技术产品生产、销售、并提供相关技术服务的企业。公司拥有一支结构配置合理的研发、生产和销售团队。拥有附属公司安徽昊拓专业的生产基地和实验室。公司致力为客户提供高质量、低价格的生物技术服务和产品。

 

公司自2016开发了系列电泳类产品,在国内国际市场获得一致认可,客户遍布世界著名大学和研究机构。公司坚持以技术创新为先导,打造一流的科技服务平台和生产基地;同时公司秉承客户至上的原则,竭诚为生物技术产业提供优质、高效、低成本的技术服务和产品,为生命科学的研究与发展提供强大的支持。

签名档.jpg

上海万生昊天生物技术有限公司 商家主页

地 址: 上海市闵行区浦江镇江凯路199号1号楼810室

联系人: 万生昊天

电 话: 021-50917892

传 真: 021-50917892

Email:service@wshtbio.com

相关咨询
ADVERTISEMENT